Nuestros servicios
Limpieza dental ultrasonica


Elimina placa, sarro y manchas con precisión y sin dolor. Este tratamiento utiliza vibraciones de alta frecuencia que limpian en profundidad, mejoran la salud de tus encías y dejan tu sonrisa más fresca y brillante.




Ortodoncia (Brackets)
Ayuda a alinear los dientes y mejorar la mordida. Es un tratamiento eficaz que corrige la posición dental para lograr una sonrisa más funcional y estética.
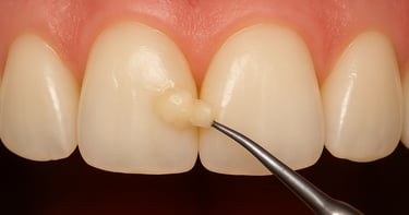
Mejora tu sonrisa con nuestras resinas estéticas de alta calidad, ideales para corregir caries, pequeñas fracturas y manchas.
Resina


Las incrustaciones dentales son piezas hechas a medida que reparan dientes dañados, ofreciendo una solución fuerte y estética.
Incrustaciones


Coronas Dentales
Las coronas dentales restauran dientes dañados, devolviendo su fuerza, forma y estética. Son una solución duradera para recuperar una sonrisa saludable y funcional.


Extraccion de Terceros Molares
La extracción es un procedimiento rápido, seguro y con anestesia, ideal para evitar infecciones y futuros problemas. ¡Cuida tu sonrisa y evita complicaciones a tiempo!”


Protesis Fijas
Las prótesis fijas reemplazan dientes de forma permanente, lucen naturales y no necesitas retirarlas.


Protesis Removibles
Reemplazan dientes faltantes y pueden quitarse fácilmente para limpiarlas. Son una opción práctica y accesible que mejora la función al masticar y la apariencia de tu sonrisa.


Endodoncias
Es un tratamiento que elimina la infección del nervio dental, se limpia y sella el interior del diente, permitiendo conservar la pieza dental, evitar su extracción y quitando el dolor.
Preguntas frecuentes
¿Cuánto tiempo duran los brackets?
Depende del caso, pero normalmente entre 12 y 24 meses.
¿Las prótesis se ven naturales?
Sí, trabajamos para que tengan apariencia y función muy similar a un diente real.
¿Cómo puedo agendar una cita?
Puedes llamarnos, usar nuestro formulario que se encuentra en contactos, o agendar la cita por medio de whatsapp.
¿Qué medidas de higiene tienen?
Todo el instrumental se desinfecta y esteriliza después de cada paciente, mantenemos las áreas de trabajo completamente limpias y sanitizadas. Utilizamos guantes, cubrebocas y protección adecuada en cada consulta para garantizar un ambiente seguro y confiable para todos.
¿Ofrecen tratamientos para niños?
Sí, contamos con atención especializada para los más pequeños.
¿Cuánto duran las citas de limpieza dental?
Por lo general, una limpieza toma entre 20 y 40 minutos, dependiendo del caso.
¿Cada cuánto debo hacerme una limpieza dental?
Lo ideal es cada 6 meses para mantener tus dientes y encías sanos.
¿Los terceros molares siempre se deben extraer?
No siempre, pero si causan dolor, infección o están mal posicionados, es recomendable retirarlos.
¿Puedo seguir trabajando después de una extracción?
Sí, solo evita esfuerzos fuertes el mismo día.
Contactanos
Para citas al Teléfono:
Email:
443 410 8669
© 2025. Joss Dental All rights reserved.
SIGUENOS EN NUESTRAS REDES


